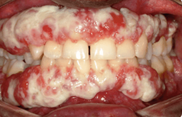
References: 1. Data on file. Kedrion Biopharma Inc. 2. Sadasivan A, Ramesh R, Mathew DG. Ligneous Periodontitis in a Patient with Type 1 Plasminogen Deficiency: A Case Report and Review of the Literature. Case Rep Dent. 2020;2020:5680535. Published 2020 Mar 24.